口元に健康と美をもたらす審美歯科。いつまでも健康的で美しくありたいと願う方の為の歯科治療です。
最新の審美治療ではセラミックマテリアルや接着剤の進歩により、最小限の侵襲で、天然歯並みに美しい審美治療が実現できます。
当院では審美的な解決が患者さんの見た目でだけでなく、心の健康にも役立つと考えています。
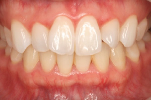
| 【CASE 1】ホワイトニング + ラミネートベニア + セラミック治療 |
BEFORE
AFTER
![]() ![]()
|
|---|
| 【CASE 2】歯肉整形 + セラミック治療 |
BEFORE
AFTER
![]() ![]() |
|---|
| 【CASE 3】マウスピース矯正 + ラミネートベニア |
BEFORE
AFTER
![]() ![]() ![]() ![]() ![]() ![]() |
|---|
| 【CASE 4】骨整形 + セラミック治療 |
BEFORE
AFTER
![]() ![]() ![]() ![]() |
|---|
| 【CASE 5】矯正 + ラミネートベニア |
BEFORE
AFTER
![]() ![]() |
|---|
| 【CASE 6】セラミック治療 |
BEFORE
AFTER
![]() ![]() |
|---|