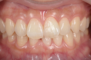
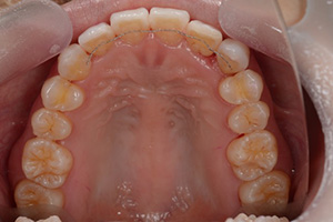
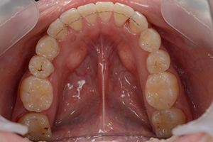
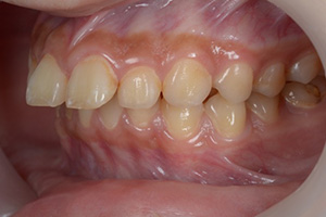
| 【CASE 1】Class1 open bite 治療期間9ヶ月 |
BEFORE
AFTER
![]() ![]() ![]() ![]()
![]() ![]() ![]() ![]()
|
|---|
| 【CASE 2】Class2 div1 非抜歯 治療期間12ヶ月 |
BEFORE
AFTER
![]() ![]() ![]() ![]()
![]() ![]() ![]() ![]()
|
|---|
| 【CASE 3】非抜歯 治療期間12ヶ月 |
BEFORE
AFTER
![]() ![]() ![]() ![]()
![]() ![]() ![]() ![]()
|
|---|
| 【CASE 4】Class2 div2 非抜歯 治療期間9ヶ月 |
BEFORE
AFTER
![]() ![]() ![]() ![]()
![]() ![]() ![]() ![]()
|
|---|
| 【CASE 5】Class3 open bite 非抜歯 治療期間12ヶ月 |
BEFORE
AFTER
![]() ![]() ![]() ![]()
![]() ![]() ![]() ![]()
|
|---|
| 【CASE 6】Class1叢生 非抜歯 治療期間10ヶ月 |
BEFORE
AFTER
![]() ![]() ![]() ![]()
![]() ![]() ![]() ![]()
|
|---|
| 【CASE 7】Class1叢生 ブライダル矯正 非抜歯 期間限定 (超スピード矯正) 治療期間5か月 |
BEFORE
AFTER
![]() ![]()
![]() ![]()
|
|---|